how long does bone cancer take to kill a dog
And that is with chemotherapy. Finally cancer can also kill by consuming a dogs nutrition in the body.
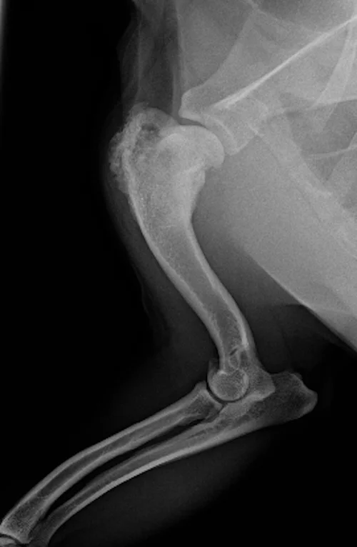
Bone And Joint Tumors In Dogs East Paulding Animal Hospital
While there are treatments and methods for achieving remission or even.
. However the prognosis remains poor with surgery alone. Some dogs will grumble when touched in a certain. Their pet underwent six months of treatment attaining remission for a total of 14 months and was euthanized when the cancer resurfaced and clinical signs caused a decline in quality of life unacceptable to their standards.
However 20-25 percent of dogs may live longer than two years. If you have a dog with lympho and your dog is doing well 6 months after diagnosis you are already beating the curve since median survival is as low as 6 months in some cases with the chemo. Not only is it difficult to hear the words but many owners struggle with understanding the process of their disease and when its actually time to let them go.
Dogs who have an amputation followed by chemotherapy may live up to. The most common type of primary bone tumor that arises in dogs is osteosarcoma OSA. The exact causes of dog cancer are still unclear although as mentioned above all forms of cancer start by genetic mutations that convert normal cells into cancer cells.
Lung cancer is a serious diagnosis in our canine companions. This translates in dogs showing respiratory signs. Cancer in dogs has the unique ability to reproduce and regenerate in another area separate from the original site.
Untreated dogs with bone cancer have a life expectancy of 1-4 months however there are several treatment options that can prolong a dogs life span. Prognosis for Osteosarcoma in a Dog The average life expectancy of dogs with appendicular osteosarcoma that dont receive treatment is 2 to 4 months. 58k views Reviewed 2 years ago.
The final stages of osteosarcoma in dogs are characterized by spread to secondary tumors mostly localized to the lungs. Osteosarcoma OSA At the top of the list Osteosarcoma is the most prevalent type of bone cancer in dogs. The most common type of primary bone tumor that arises in dogs is osteosarcoma OSA.
Cancer cells that have spread to the bone can damage the bone and cause symptoms. Dog Bone Cancer Warning Signs. First as pet owners we have to know our dogs behavior when it comes to chewing their food.
A normally energetic dog may begin fatiguing after walking or playing. When To Euthanize A Dog With Cancer. Amputation combined with other treatments can allow a dog to live for 1-2 years longer than if untreated.
With pets living longer than ever cancer has become a diagnosis that we see more commonly in older dogs. Another thing to consider is the dental condition of our canine friends teeth and the overall health and size of our dogs. In order to better understand what happens when bone cancer in dogs worsens it helps to firstly understand how this type of cancer impacts the dogs body.
If a tumor spreads to the bone its called bone metastasis. Vet formulated to support your pets complete body in the fight against cancer. Because osteosarcoma is a painful disease amputation also provides relief from unrelenting discomfort that is hard to control with pain medication alone.
When Cancer Spreads to the Bones. How long does it take a dog to digest a bone. Responsible for 85 of all malignancies of a dogs.
What Causes Cancer in Dogs. How long does it take for a dog to pass a raw bone allows us to understand their health hazards. The dog depleted of almost all nutrition is starved to death.
Cancer will kill you if the cancer cells invade healthy tissue organs and impair their function. Sometimes bone cancer makes a sudden appearance as a lump in the leg or in worst case scenario as a pathologic fracture. But in most dogs bone cancer shows up slowly often over a few months.
Its sad to say but dogs with bone cancer do not have a very long life expectancy especially if the cancer has metastasized. This spread is called metastasis. Get the eBook for 999.
With treatment survival time is about 12 months. Lung Cancer In Dogs Symptoms Treatment Options. Your oncologist will set a recheck schedule that is right for your pet given their specific medical needs.
Dog 2s owners elected to euthanize their dog the day after meeting with me. While lung tumors are relatively rare in our furry friends they can creep into a dogs life and seriously impact their health. A dog that has been amputated and has had chemotherapy can expect to live for 10 to 12 months.
A large-scale 2017 study of the 10 most common cancers with bone metastasis found. Cancer that has started in one place can spread to and invade other parts of the body. Breast cancer had the highest.
If your dog has bone cancer you will also need to make changes in his diet. Types of Bone Cancer in Dogs 1. With bone cancer this can occur by affecting blood cell production in the bone or the cancer can metastasize to other organs and cause organ failiure.
In this article we will help you understand the diagnosis of cancer. Lung cancer had the lowest 1-year survival rate after bone metastasis 10 percent. 90 of dogs will die of this disease within one year if surgery is the only treatment attempted.
With bone cancer this can occur by affecting blood cell production in the bone or the cancer can metastasize to other organs and cause organ failiure. Dec 30 2020. Ad Help your pet fight cancer with NHVs most popular Cancer Pack.
Our canine companions are a member of our family making a cancer diagnosis extremely devastating. The American Veterinary Medical Association AVMA reports that one in four dogs will develop cancer at some time in their life and that 50 of pets over the age of 10 will develop cancer. The average survival time in dogs with osteosarcoma treated with surgery and chemotherapy is approximately one year.
The Pet Oncologist Vet Oncologist Online Blog Radiation Therapy For Dogs With Bone Cancer
My Dog Swallowed A Yak Bone Or Chew What Should I Do Our Fit Pets Cat Advice Dogs Yak
Bone Cancer In Dogs Aspca Pet Health Insurance
Canine Osteosarcoma Fact Sheet Davies Veterinary Specialists
Learn About Osteosarcoma Bone Cancer In Dogs Petcure Oncology
What Is The Prognosis Of Bone Cancer In Dogs
Osteosarcoma The National Canine Cancer Foundation
Signs Symptoms Of Bone Cancer In Dogs Matthews Vet Carolina Veterinary Specialists
What Is The Right Time To Euthanize A Dog With Osteosarcoma Dog Leash Pro
Signs Of Bone Cancer In Dogs How It S Treated Winston Salem Vet Veterinary Oncology
What Is The Right Time To Euthanize A Dog With Osteosarcoma Dog Leash Pro
Learn About Osteosarcoma Bone Cancer In Dogs Petcure Oncology
Pin On German Shepherd Things For My German Shepherds
Understanding Osteosarcoma In Dogs
Smoked Bones For Dogs Are Smoked Bones Safe For Dogs
Osteosarcoma Canine Litchfield Veterinary Hospital Torrington Rd Litchfield
Common Eye Problems With Dogs Dogs Eyes Problems Dogs Common Eye Problems
